内科的“药”、外科的“刀”、放疗的“光”等集结发力。
“在病痛面前,医生始终与我们站在一起,感谢你们的付出。”近日,上海市胸科医院肺癌精准诊疗多学科团队收到一面锦旗,锦旗赠送者李老伯是一名晚期肺癌患者。确诊时的无助,仿佛就在昨日,而今经治疗,他的肿瘤几乎完全消失。
肿瘤进展了,就没法治了?
刚到医院多学科门诊时,李老伯面容憔悴,他的儿子告诉医生,从发现生病以来,老人吃不下,也睡不好。
去年,李老伯体检时被诊断为肺鳞癌,并且已经出现淋巴结转移。跑了几家医院,他们都被告知肿瘤是局限晚期,手术没把握。
“我不想让父亲多吃苦头,也不想就这样放弃。”儿子打听到胸科医院有多学科诊疗模式,立刻就挂了号。
胸科医院多学科团队评估判断,老伯的肿瘤虽然已经局部进展,但尚未扩散到身体其他部位,想办法让肿块缩小,还是有手术切除的希望!
专家们制定了“新辅助免疫治疗、再行手术切除”的治疗方案。
已成功救治近500名疑难患者
很快,李老伯被收入内科病房,先接受“免疫+化疗”的新辅助治疗。
期间,肿瘤科副主任医师艾星浩密切监测治疗效果。艾星浩介绍,新辅助免疫治疗是在手术前进行的化疗联合免疫检查点抑制剂治疗。这种方式能使患者的肿瘤缩小,让手术切除更彻底。
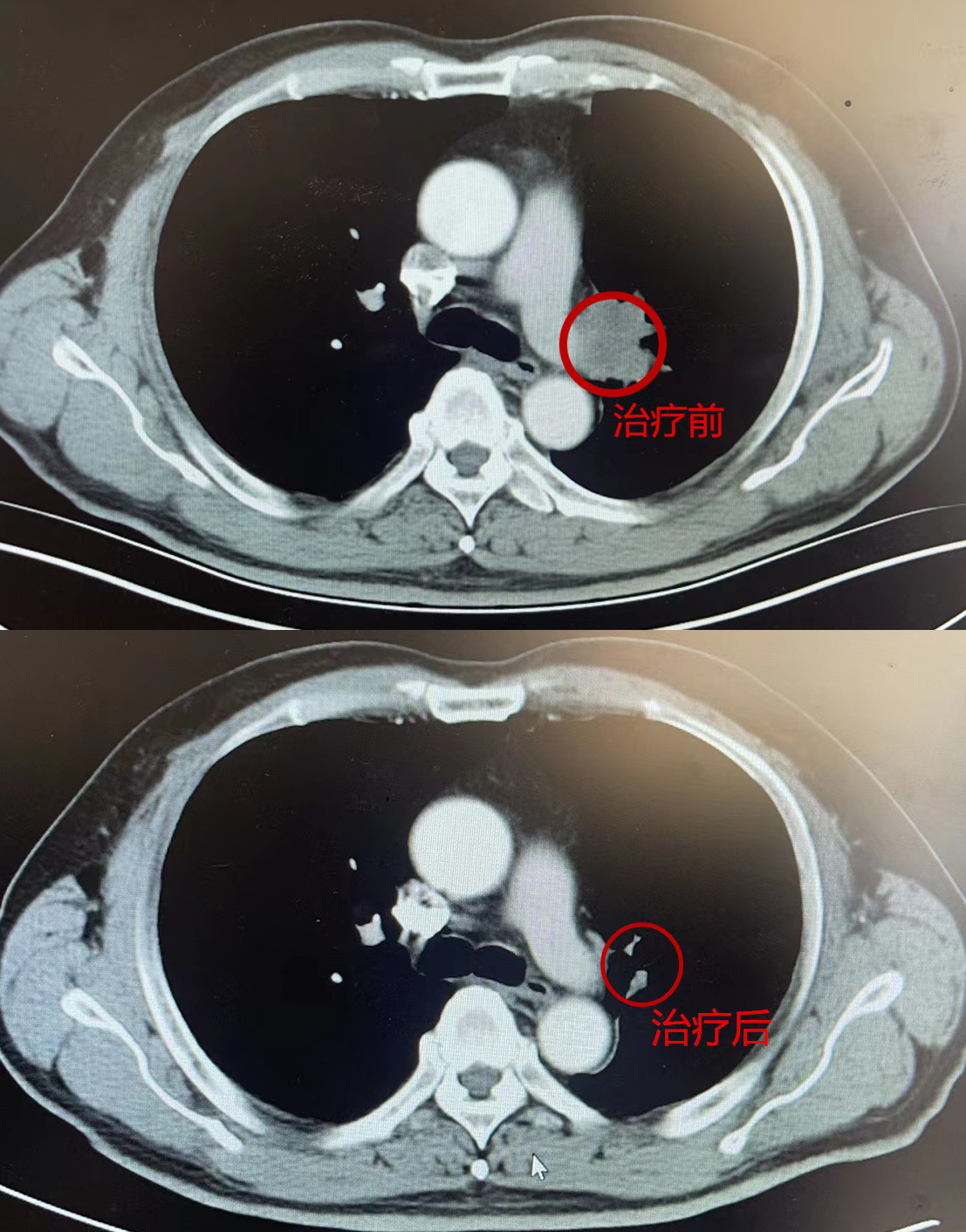
经3个周期“化免攻击”,老伯的肿块比原来缩小了90%以上,胸部CT上几乎看不见肿瘤!
得知这一消息,一家人很激动。
紧接着,外科接棒。肿瘤科罗清泉主任团队为老人施行了左肺上叶切除术,完整摘除了肺部肿块。
更令人惊喜的是,术后病理显示,老伯肺内已没有任何肿瘤细胞,达到了病理完全缓解!
“这次深刻感受到多学科团队的便捷与专业。”陪伴父亲治疗全程的李老伯儿子,对多学科模式尤为感激。
据悉,胸科医院的肺癌精准诊疗多学科团队,也是上海市卫生健康系统“劳模创新工作室”,汇聚了多学科知名专家——由肿瘤科主任陆舜教授作为召集人,肿瘤科常务副主任罗清泉教授,放射科名誉主任叶剑定教授主要参与。内科的“药”、外科的“刀”、放疗的“光”以及辅助科室的“判”,共同组成了守护患者健康的屏障。
“像李老伯这样病情复杂的局限晚期肺癌患者,治疗方式的选择尤为重要。”专家说。成立3年多,该门诊已成功救治近500名疑难患者,尤其聚焦局部进展期肺癌、多原发肺癌、局限期小细胞肺癌、复发肺癌等复杂疑难病例,为中晚期患者送去新希望。
当前,胸科医院立足心胸专科特长,已开设了12个多学科专题门诊,涵盖中晚期肺癌、肺多发结节、肿瘤心脏病、纵隔及食管肿瘤等复杂疑难疾病,为患者解决燃眉之急,也为临床新技术、新研究的开展注入新思路。
图:受访方供图
编辑:唐闻佳
责任编辑:樊丽萍
转载此文请注明出处。
