近日,上海仁济医院进行了一项手术:确诊了一例极其罕见的肝脏妊娠,救孕妇于危急之中。

据医生介绍:患者为35岁女性,有过两次剖宫产史。她在当地医院进行过多次产检,停经2个月后仍无法确定具体妊娠情况,慕名到仁济医院妇产科求助。
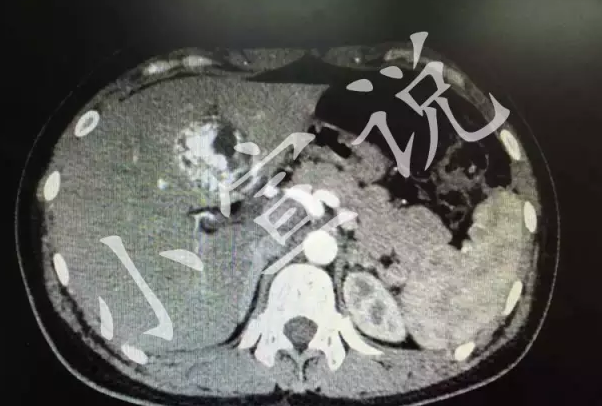
医疗团队对患者进行了探查,最终在行腹部CT检查时,发现在肝脏处发现了妊娠迹象。

医院随即对患者制定了手术方案,最终为患者进行了左半肝切除术,目前,患者生命体征平稳、术后恢复良好!
院方介绍:此例患者宫外孕发生在肝脏中实属罕见。
这个顽皮的“傻孩子”跑错地方是由于:调皮的受精卵哪里供血丰富就往哪里跑,因此,异位妊娠也称“宫外孕”,最常发生在输卵管,罕见病例发生在腹腔大网膜、脾脏等脏器。
宫外孕常引起大出血,若不及时救治,后果不堪设想。