
图片来源:pixabay
延缓甚至逆转衰老,是人类一直以来的理想,也是现代生物学研究的前沿领域。虽然我们无法改变自己的实际年龄,但是DNA中与年龄有关的某些变化似乎是可逆的。一项近期发表于《老化细胞》(Aging Cell)的研究指出,9位自愿者在接受了为期一年的药物治疗后,生物学年龄(生理年龄)平均逆转了2.5岁!该研究的结论仍需经过更多大规模研究验证,但它无疑为抗衰老的研究提供了全新的思路。
这项研究中,研究人员使用“表观遗传时钟”来预测生物学年龄。在整个生命周期中,人体内的DNA不断获取新的化学标记(主要是甲基),这个过程就是DNA甲基化。这样的过程可以改变细胞对特定遗传信息片段的“解读”,因此,在DNA序列没有发生变化的情况下,基因的表达可以发生可遗传的“表观遗传”变化。
上述化学标记沿DNA双链排列,构成类似商品条形码的独特图案。研究人员可以利用这些图案计算个体的生物学年龄,且误差不超过两三年。
免疫学家、美国洛杉矶生物医学公司Intervene Immune的首席科学官兼联合创始人Gregory Fahy领导了这项最新研究。试验招募了9名健康、年龄在51~65岁之间的白人男性自愿者,所有自愿者都接受了为期一年的生长激素、一种糖尿病药物(二甲双胍)和一种激素补剂(脱氢表雄酮)的“鸡尾酒”疗法。
胸腺的作用
最初,这项药物试验的目标并非逆转生物时钟,而是希望逆转另一种衰老迹象——随年龄增长而萎缩的胸腺。胸腺在免疫系统中扮演着至关重要的角色,它能够诱导未成熟的免疫细胞分化成为T细胞,而T细胞的免疫效应,在人体抵御感染和肿瘤的过程中均发挥着巨大作用。
青春期之后,随着腺体组织的丢失和脂肪的囤积,胸腺开始退化并被脂肪取代。但是,过去对动物和人类HIV患者的研究表明,生长激素有助于胸腺组织的恢复。2006年,作为自己独立研究的一部分,Fahy给自己注射了生长激素,并确实在自己身上观察到了胸腺再生的迹象。但他希望能在更多的健康人群中重复这一发现,于是他在这项新的药物试验中再次使用了生长激素。同时,为了缓解生长激素引起的血糖升高等副作用,Fahy还添加了用于降低血糖的“神药”二甲双胍和脱氢表雄酮。而根据以往研究,这两种药物在单独使用时不会对胸腺产生任何影响。
试验的结果让Fahy感到十分兴奋,随着时间的推移,在9名自愿者中,7人胸腺内的脂肪都开始减少,胸腺组织也出现了再生的迹象,并产生了更多的免疫细胞。

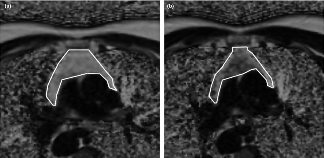
上图显示了一名自愿者在试验开始(左)和第9个月(右)时的MRI扫描结果。白色框线代表胸腺的边界,内部颜色变深表明胸腺内的脂肪减少。
此外,Fahy认为,这项试验的效应可能并不局限于免疫系统的改善。研究人员对参与者血液中的代谢物也进行了检测,发现相比于试验前,参与者的肾脏能更有效地从血液中过滤毒素。早在1988年,一项动物研究就发现,将年轻小鼠的胸腺移植到老年小鼠身上后,后者似乎恢复了胸腺和肾脏的功能,以及其它非免疫功能。
这时,Fahy开始思考:胸腺对人体的影响可能比我们预想的更加重大,恢复其功能也许就是让我们“重返青春”的一大秘密法宝。
不可思议的逆转
为了弄清楚药物试验是否改变了所有自愿者的生物学年龄,Fahy联系了加州大学洛杉矶分校的遗传学家和生物统计学家Steve Horvath,后者以建立了高精度的表观遗传时钟而闻名。

Steve Horvath
图片来源:Brad Swonetz/Redux/Eyevine
在整个试验期间,研究人员采集并保存了所有参与者的血液,于是Horvath从这些血液样品中提取了DNA,并以自己已经建立的4种表观遗传时钟为基准,对所有自愿者的生物学年龄进行了估算。Horvath发现,在试验期间,自愿者的生物学年龄减少了:试验前9个月,生物学年龄以平均1.6岁/自然年的速度减少;此后,生物学年龄进一步加速逆转。此外,自愿者的总体预期寿命有所增加、与衰老有关的各种疾病风险也下降了。
一年之后的结果显示,与不使用该疗法的情况相比,自愿者的生物学年龄平均减少了2.5岁。当然,考虑到试验本身持续了一年,所以实际上这些人的生命比试验开始时逆转了大约1.5年。另外,这种效应似乎在试验结束后的6个月之内仍然得以维持。肯定与质疑
无论如何,通过服用几种常见药物竟能轻易逆转人类的生物学年龄,这一结果无疑令人振奋。Horvath对这一发现非常乐观:“我们对每一个自愿者都进行了跟踪试验,而且确实发现他们身上出现了明显的逆转,这一方案具有良好前景。”
爱丁堡赫瑞-瓦特大学的癌症免疫学家Sam Palmer也对试验结果表达了积极的态度,他认为这一发现或许会对癌症和衰老问题产生深远影响。
但另一方面,一些科学家也对该研究提出了质疑。
德国亚琛大学的细胞生物学家Wolfgang Wagner认为,或许这些药物确实有些作用,但研究本身的结果并不够令人信服,因为试验的样本量太小,所以结果是否适用于更多人仍是未知数。
“以前从来没有研究表明,个体的生物学年龄可以逆转,尤其是通过这种干预方法,”瑞典Karolinska研究所的分子流行病学家Sara Hagg评论道,“虽然生物学年龄可以逆转的想法非常有趣,但试验的存疑之处还有很多。”
例如,这种疗法到底是逆转了标志生物学年龄的DNA变化,还是仅仅恰好改变了表观遗传时钟,而让我们误以为年龄被逆转了?她提出了这样的疑问。另外,Hagg认为该研究的最大问题在于没有设置对照组:“我们没法确定现在的结果是不是安慰剂效应,又或者可能是参与者生活方式的改变影响了结果。”
Fahy认为,虽然确定表观遗传年龄时并没有考虑到生物学年龄的所有相关特征,其数值大小也不能和衰老本身完全等同,但它仍然是衡量生物学年龄、衰老相关疾病风险的最好指标。同时,Fahy也承认了这项试验的不足之处,“这确实是一项小规模的研究,而且目前尚不清楚每种药物在抗衰老过程中发挥了怎样的作用。”
下一步,研究人员准备将该试验扩展到更大的目标范围中,对不同年龄、肤色和性别的人群进行试验,以提升试验的可靠性,并对结果背后的药物作用机制进行探索。
作者:于颖卓 编译
编辑:张鹏
责任编辑:任荃
来源:环球科学、《自然》杂志等