
随着各种刑侦片的流行,使用DNA调查案件的方式也走进大众们的视野。很多时候发现尸骨却无法判定死者身份时,很多人都会说,做DNA鉴定不是就可以了。
DNA鉴定真的无所不能吗?
电视剧里动辄动用全套尖端科技装备,把DNA鉴定打造成可以解决所有问题的”万能钥匙”。
这种电视剧看多了就会自然而然地认为,只要有一缕头发、一滴血迹、一小块尸骨,就能够通过便携式机器将其遗传基因提取出来,并即刻明确当事人的身份。

首先,从骨骼中提取遗传基因并没有想象的那么快,而且想要从地下挖掘到的历史久远的遗骨中提取DNA以判断身份,是更加具有难度的。
因为DNA不像身份证号码,具有固定的比对系统,所以只凭DNA分析结果很难判定身份,必须有能够进行比对的样本。
除非此人生前将自己的DNA上传到失踪者DNA数据库,但这种可能性极低,更不要说20世纪80年代之前那些无法通过DNA鉴定确定身份的年代了。
但我们也不是全无办法,想要确认失踪者或嫌犯身份,可以用其亲属的DNA进行比对,这也为警方办案提供了极大的帮助。
但说回影视剧中将DNA鉴定作为万能工具的情节,可能只是为了增强趣味性而编写的桥段。当然,偶尔会有奇迹发生也说不定。
人体内的指纹——锁骨
其实除了DNA,骨骼也可以”诉说”身份信息。
比如说锁骨在鉴定死者身份时也具有重要作用,不仅能通过锁骨判断年龄,还能通过一些手段确认死者身份。

锁骨是我们身体中最早开始形成,最晚完成连接的骨骼。还没有完全发育的青少年的左右锁骨之间有一块相当于5角硬币大小的小块骨还没有连接,这块骨要在过了25岁之后,才会完全与锁骨连接,也正因为此,才可以通过锁骨来判断年龄。

▲红色处为锁骨
而且锁骨就像指纹一样是人体独一无二的特征,每个人的锁骨也各不相同。
与其他骨头不同,锁骨的骨密度和形态几乎是终生不变的,在加上锁骨本身是无法运动的,每个人年轻时与年老后的锁骨形态也基本没有差别。

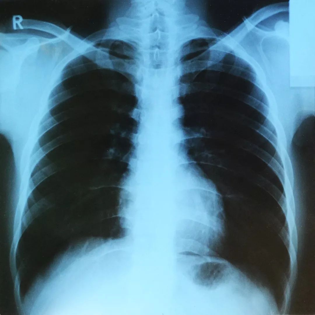
由于锁骨位于人体的最前方,所以拍X射线胸片时不会被其他骨骼或肌肉遮挡,可以清晰地看到它的轮廓。
因此,发现失踪者遗骨时,如果能够与其生前拍摄的X射线胸部照片进行对比,就能够通过锁骨鉴定身份。
能够判断人种的骨——颧骨
想要判断人种,在一定程度上则可以根据颧骨。
两侧颧骨凸起是亚洲人的典型特征,面部是我们全身中受环境影响最小的部位。手臂、腿部以及全身的体型可以通过肌肉锻炼增大,头部形状也会因年幼时仰卧或侧卧的睡姿而发生改变,但面部却不会因此而变化。无论做怎样的面部运动,低鼻梁也不会变高,单眼皮也不会变成双眼皮。

由于颧骨存在这种特征,人们通常通过颧骨区分人种。美国田纳西大学法医人类学研究所的威廉·巴斯教授在他关于人类骨骼研究的著作中,讲述了通过人类骨骼区分人种的方法:把铅笔水平放在鼻孔下,铅笔和颧骨之间可以轻松伸进一根手指的就是白种人,否则就是亚洲人种。

虽然巴斯教授提出的区分人种的方法过于简单,但从另一个角度看,确实说明亚洲人种的颧骨与白种人的相比更向两侧凸出。
怎么样,是不是觉得骨骼比我们想象中更要复杂?
编辑:储舒婷
责任编辑:姜澎
来源:狂丸科学、《骨骼知道真相》