
出生仅4天的女宝宝小婴(化名)已经历了一场人生大劫,成功摆脱了与她头一般大的肿瘤。今天小婴顺利出院,而这样的新生儿巨大颈部肿瘤对“久经杀场”的医生们来说,也是前所未有的挑战。

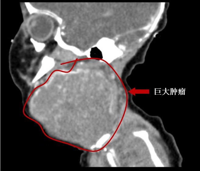
小婴出生于江苏启东,妈妈在怀孕期间常规体检未发现明显异常。两周前,小婴于当地医院顺利剖宫产。小婴的首次露面让在场的医护人员都吓出一身冷汗。原来,小婴的头颈部生长了一个与婴儿头一般大的质硬肿瘤。经当地医院影像检查显示,患儿左颈部有一个实质性肿瘤,大小约84*62*55mm。医生介绍,这个肿瘤生在颈部,严重压迫了气道,小婴出生后马上就出现了呼吸困难。
手术切除肿瘤是救命的唯一方法。然而,别说是手术了,由于肿瘤把压迫着气道,术前麻醉都是极大的难题,当地医院束手无策。
24小时后,小婴转入上海儿童医学中心新生儿科。接诊医生表示,当时发现小婴颈部的肿瘤还在快速增大,宝宝的呼吸越来越困难,已经等不及完成全部的检查和准备了。仅仅出生后96小时,小婴已经出现了严重的呼吸窘迫。
危急时刻,上海儿童医学中心麻醉科郑吉建、顾洪斌医生向高难度发起挑战,采用内径2.5mm气管插管成功挑开压迫的肿瘤,建立通畅气道。普外科陈其民教授和严志龙主任接过接力棒,抽丝剥茧,精确游离,快速而缜密,最终完整地切除了小婴颈部的巨大肿瘤,患儿终于转危为安。
这是一次与时间赛跑的成功的救治行动。作为国家儿童医学中心的主体之一,上海儿童医学中心拥有一流的肿瘤多学科治疗团队。小儿普外科/肿瘤外科是国家临床重点专科,上海市重点学科,国家211工程、上海市临床医学中心所在专业。在国内率先开展肿瘤多学科协作治疗模式,已开展全部种类的复杂性实体肿瘤手术,每年完成实体肿瘤手术病例数(年均600多例肿瘤手术,其中恶性肿瘤250多例)以及肿瘤疑难病例数(约占总病例数的1/3)均在国内名列前茅。其中,最大肿瘤直径超过30cm,年龄最小的肿瘤患儿出生仅3天,新生儿肿瘤切除手术累计已超过500例。
作者:夏琳 唐闻佳
编辑:储舒婷
责任编辑:顾军
*文汇独家稿件,转载请注明出处。