
原本只想用二甲双胍治疗下胸腺,没想到逆转了年龄?!二甲双胍凭实力“封神”了……
千百年来,其实人类一直在追求返老还童,甚至青春永驻,但终究不过是一场梦!
诶?等下……最近这个梦想可能有实现的苗头了!
9月5日,《Nature》官网头版头条刊发一篇新闻,给了“人类返老还童”一个希望:加州大学洛杉矶分校(UCLA)给9人做了一项实验,在1年的实验期结束后,竟发现9人的生物年龄平均逆转了2.5岁。
由于太过重磅,这个研究已经在《Nature》的头版头条挂了3天了……

▲原文标题:身体的生物年龄可以逆转的第一条线索出现了
虽然这个研究是一项小型临床研究,但首次证实了生物学年龄是可以逆转的,就算平均逆转2.5岁也是一次重大突破。
其实本来只为了恢复胸腺“第二春”
这个实验由位于洛杉矶的 interveal Immune 公司首席科学官、联合创始人、免疫学家 Gregory Fahy 领导,并于 2015 年 5 月获得美国食品药品监督管理局的批准。
Gregory Fahy做这个实验主要是为了测试生长激素能否安全地用于人体,恢复胸腺中的组织。说白了就是单纯只想搞搞胸腺,想让我们的胸腺恢复“第二春”。

▲Gregory Fahy
实验人员通过通过Thymus Regeneration,Immunorestoration and Insulin Mitigation(TRIIM)试验测试了 9 名 51 至 65 岁的白人男性。在一年的时间里,这9名健康的志愿者服用了三种常用药物——生长激素和两种糖尿病药物的混合物。
因为早在1986年, Gregory Fahy 读到了一项研究,把分泌生长激素的细胞移植到大鼠体内,发现能够使大鼠的免疫系统恢复活力。十年后,46岁的 Gregory Fahy 拿自己“开刀”,他用生长激素和脱氢表雄酮(DHEA)在自己身上治疗了一个月,发现自己的胸腺再生。
腺体位于胸、肺部和胸骨之间,对免疫功能至关重要。因为白细胞在骨髓中产生后,要在胸腺内成熟,在那里成为“有杀伤力”的 T 细胞,帮助身体抵抗感染和癌症。但青春期后腺体开始萎缩,越来越多地被脂肪堵塞。
由于激素也能促进糖尿病的发生,因此这项试验在鸡尾酒疗法中加入了两种广泛使用的抗糖尿病药物——脱氢表雄酮(DHEA)和二甲双胍。
不负所望,在 TRIIM 试验中,研究人员在治疗期间采集了参与者的血液样本,结果表明,每个参与者的血细胞计数都恢复了活力。
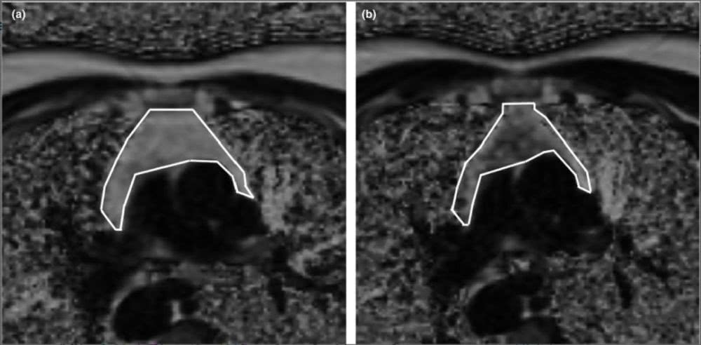
研究人员还在研究开始和结束时使用磁共振成像(MRI)确定胸腺的组成。他们发现,在 7 名参与者中,堆积的脂肪已经被再生的胸腺组织所替代。

▲白线表示胸腺边界,变暗对应于非脂肪组织代替脂肪
所以这个实验具有非常重要的意义,因为肺炎和其他传染病是 70 岁以上老年人死亡的主要原因。如果能够让已经萎缩的胸腺再生,也就是免疫力重建,那可以避免更多的死亡。
还有意外收获:年轻了2岁半!
考虑这些药物对参与者表观遗传时钟的影响,其实是事后的想法。当Gregory Fahy找到表观遗传时钟研究专家Horvath进行数据分析时,临床研究已经结束了。
研究专家Horvath用四个不同的表观遗传时钟(表观遗传时钟依赖于人体的表观基因组,其中包括化学修饰,如标记 DNA 的甲基基团)来评估每个病人的生物年龄,他发现在所有的测试中,每个试验参与者都有明显的逆转——他们的生物学年龄平均减少了2.5年。

▲研究人群的表观遗传老化特征
注意:EA =表观遗传年龄;A =实际年龄;0 =零个月(试验开始);9,12,18 =试验开始后9,12和18个月;所有结果均以年或年为单位给出。
生物学年龄是从医学、生物学的角度来衡量的年龄,它反应人的成长、成熟或衰老的程度,是一个人身体状况的年龄表现。一般来说,生理年龄随实际年龄的增长而增长,但是由于受到各种影响,生理年龄可能远小于也可能远大于实际年龄。
更加令人兴奋的是,这些患者不仅在服药期间生物年龄开始逆转,身体开始变年轻,甚至在停药之后,这种年轻化的情形还持续存在!
研究专家Horvath说道:“这些结论告诉我,这3种药物治疗的生物效应是强大的”。此外,他说6名参与者在停止试验 6 个月后,提供了最后的血液样本,这种效果持续存在。
二甲双胍真的是凭实力“封神”
这次实验,对比Gregory Fahy 拿自己亲自“开刀”那次,多加入了二甲双胍。
二甲双胍一直是糖尿病治疗的一线药物。近年来它跨界很凶,被发现了有一大堆新奇的功能……
2016年,发表在《Cell Metabolism》的一篇研究还证实它可以延缓生物的衰老,降低人类衰老相关疾病的发病率,如神经退行性疾病和癌症。

二甲双胍,从糖尿病到抗衰老
二甲双胍和抗衰老的新闻之前也出过好几次,但是这次是真的有了临床数据,虽然这些发现还是初步研究,而且试验规模很小,也算是一次重大的突破。
研究人员也准备开始测试二甲双胍预防常见年龄相关疾病(如癌症和心脏病)的具体潜力。
关于样本量小这点,也确实有德国亚琛大学的细胞生物学家沃尔夫冈瓦格纳专家提出观点:“这可能是一种效应,但结果并不牢靠,因为研究规模非常小,也没有设立相应的对照组。”
而英国Herriot-Watt大学的癌症免疫学家 Sam Palmer 却很兴奋,他认为认血液中免疫细胞的复苏令人兴奋。这不仅对传染病有巨大作用,而且对癌症和老龄化也有很大帮助。
不管如何,intervente Immune 正打算进行进一步的大样本量研究。Gregory Fahy 说,鸡尾酒疗法中的三种药物可能通过独特的机制分别对生物老化产生影响,接下来的研究中,他们将不同年龄组别和种族的人以及女性纳入研究。
看到这里,我只想说一句,二甲双胍真的是凭实力“封神”的……
>>>链接:
解锁二甲双胍的隐藏技能
二甲双胍是目前运用最广泛的一个口服降糖药。虽然有许多新的降糖药上市,但是二甲双胍仍然是经典的口服降糖药。除了有降糖的作用,还有其他作用,比如:
心血管保护作用。可以减少心血管疾病的发生风险。二甲双胍对血管保护作用,主要来源于二甲双胍的降糖作用。
可以改善血脂。降低2型糖友的血浆甘油三酯(TG),低密度脂蛋白胆固醇(LDL-C)以及总胆固醇(TC)。
二甲双胍有神经保护作用。
二甲双胍有降压作用。对单纯的收缩压、舒张压或者两者同时起作用。
对于有糖尿病合并超重的糖友,二甲双胍可以降低心血管相关并发症的风险,有助于减轻体重。减重作用可能与胃肠道的不良反应导致食欲减退,食欲不振有关。
二甲双胍也有抑制肿瘤的发生和发展的作用。因为糖尿病可能是多种肿瘤,比如说乳腺癌,结肠癌,子宫内膜癌等的风险因素。
编辑:金婉霞
责任编辑:许琦敏
来源:综合自“医学界”、“谈谈健康那点事”