“笑尿了” “尿晕了”原是日常生活中人们的调侃。但在泌尿外科,却不乏真实的病例。那些经历给患者带来了许多生活上的不便,例如常见的“笑尿了”,通常指“压力性尿失禁”。然而,“一尿就晕”的尴尬事儿确实不多见。
前不久,上海九院泌尿外科就接诊了一位深受其扰的患者阿辉(化名)。他一排尿就会出现头晕、脸色苍白、心慌和出虚汗,但随着排尿结束就会逐步缓解。
这样的情况持续了一年多,阿辉辗转各大内科查找病因,始终查不出所以然。听闻九院有排尿功能障碍专科,阿辉抱着试试看的想法前来就诊。接诊医生郑大超,听完患者描述后,隐隐觉得可能是“膀胱异位嗜铬细胞瘤”作祟!随后,经超声检查发现膀胱占位(膀胱内有肿块)。
阿辉见到检查报告里出现“占位”二字,立马慌了神。郑大超与姚海军副主任医师沟通并商量,当即给患者安排了膀胱镜检查,以进一步明确诊断。
检查发现患者右侧输尿管后方粘膜下方有一隆起性病变,这与常见的膀胱尿路上皮肿瘤(膀胱镜下为菜花状改变)有显著区别。结果更进一步证实了之前的推测。
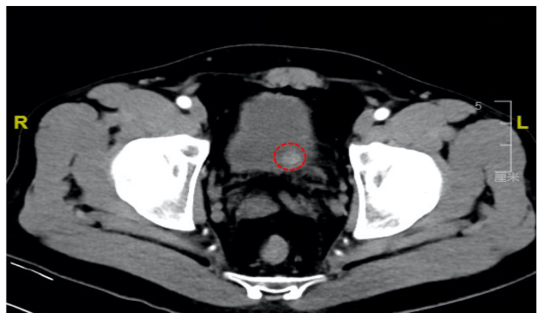
进一步CT检查显示在膀胱肌层内一直径约2cm球形高密度影。结合病史,几乎可以确诊膀胱内的肿块就是异位的“嗜铬细胞瘤”(又称“副神经节瘤”),在肾上腺相关生化激素指标检查后,阿辉体内的定时“炸弹”找到了。它大量产生的儿茶酚胺,可能正是“升压激素”,这就是阿辉出现尿晕的“元凶”。

盆腔CT显示,阿辉膀胱壁有高密度肿块
既然是膀胱内占位,手术是必要的。但考虑到嗜铬细胞瘤可能分泌儿茶酚胺造成术中血压剧烈波动进而危及生命。手术风险在于术中可能触碰肿瘤诱发高血压危象和心律失常,肿瘤切除后可能会出现顽固性低血压,为此泌尿外科反复讨论各种手术方法的选择,是经尿道手术还是腹腔镜下切除病灶?
经过两周的药物准备,阿辉的血压和心率非常稳定,术前医生对其进行了必要的扩容处理。泌尿外科主任王忠教授发现发现患者肿块与肌层之间似乎存在一个淡淡的界限。如果实施传统的开放手术或腹腔镜下将肿瘤切除是可行的,但对于患者来说可能创伤较大。
阿辉的肿瘤与膀胱壁之间似乎有界限,完全可以尝试用全新的方案进行手术,即经尿道膀胱镜下钬激光剜除肿瘤,如手术顺利则对于患者来说创伤极小,且能达到术前预期效果,但如出现膀胱大面积穿孔则改腹腔镜修补膀胱。作为“拆弹人”的泌尿外科团队为阿辉进行手术。
正如王忠术前预判的那样,肿瘤与膀胱肌层存在清晰的界限,钬激光将肿块完整地挖了出来,膀胱并无穿孔。通过术前精心的扩容准备,术中触碰到肿瘤时血压轻微升高至140/80mmHg,但并未出现难以控制的波动。

整个手术时间仅半小时,王忠教授就为阿辉顺利拆除了“定时炸弹”(上图) ,术中血压、心率都一切正常。术后两周,患者憋尿未再出现头晕、心慌症状。
嗜铬细胞瘤是泌尿外科常见的一种肿瘤,起源于交感和副交感神经,最常见的位置时肾上腺。但也有少数会长在其他含有交感和副交感的部位,如膀胱、心脏旁、大血管边等部位,这部分嗜铬细胞瘤被统称为异位嗜铬细胞瘤。与长在肾上腺上的嗜铬细胞瘤类似,有活性的异位嗜铬细胞瘤受到外界刺激时分泌儿茶酚胺,造成血管收缩进而导致血压升高。此患者是一例典型的膀胱异位嗜铬细胞瘤,有典型的“头痛、心悸、出汗”三联征,再结合和影像学、血生化等检查,尽管发病率只占膀胱肿瘤的0.1%,但仍能很容易明确诊断。
此病例的成功治疗得益于泌尿外科高效的诊治流程,当天完成了膀胱镜、增强CT等检查;手术全过程科学管理,术前团队严格按照嗜铬细胞瘤的规范进行准备,降低术中风险的发生几率;以及手术方案周密设计和合理部署,以最小的损伤达到治疗目的。
作者:通讯员姚海军 郑大超
编辑:储舒婷
责任编辑:唐闻佳 顾军
*文汇独家稿件,转载请注明出处。图丨受访方供图