
刘颖斌(右)与高钢龙(左)在手术中
持续腹痛,进食梗阻1年,“元凶”竟是肚子里长了一个“茧”!近日,在上海交通大学医学院附属仁济医院刘颖斌团队为一名罕见“腹茧症”患者(化名李先生)抽“丝”剥“茧”,成功为其施行了高难度的复杂肠粘连松解术和小肠排列术,彻底解决了一年多来反复折磨他的腹痛和梗阻症状。术后患者恢复良好,高兴地表示:“终于可以正常吃饭喝水了,感谢仁济医生妙手仁心!”
去年4月,李先生突发腹部剧痛,停止排气排便,反酸呕吐,并且反复持续发作。他曾多次前往当地医院急诊行胃肠减压、口服泻药、灌肠通便、补液等对症支持治疗,但反复持续发作的腹痛让他连正常进食进水都成了奢望,半年内,他的体重从160斤骤降到100斤,虚弱不堪。
辗转多家三甲医院求医,由于李先生的肠粘连程度重、手术风险大,多家医院均无治疗条件。抱着最后一丝希望李先生慕名来到仁济医院南院区普外科刘颖斌团队求治。
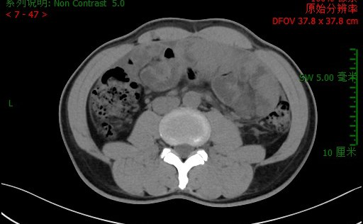
南院区普外科检查及会诊后发现,患者左下腹有一个25*20cm的硬质包块活动度差,有局限性压痛、反跳痛;CT检查显示小肠系膜纠集,周围线状包裹,提示“腹茧症可能,伴小肠不全梗阻”;患者肿瘤标志物、结核指标、自身免疫指标、胃肠镜等检验检查均为阴性。经讨论后,大家一致认为,造成李先生呕吐、腹痛、停止排便的“元凶”是腹茧症,患者小肠被纤维包膜层层包裹,失去蠕动的功能,因此演化为不完全性粘连性肠梗阻。手术剥离肠管外周增厚的纤维膜是解除梗阻、恢复正常进食的唯一途径。
“腹茧症”是一种罕见的腹部疾病,术前诊断率仅4.6%。该病通常是因为先天畸形、结核、恶性肿瘤、自身免疫反应、腹膜炎史、腹腔内灌注化疗、腹膜透析、病毒感染、某些药物作用等因素,使腹腔内纤维蛋白渗出增多,在小肠部位形成纤维性包膜,使肠管间发生粘连簇拥,形成腹部包块,导致机械性蠕动障碍、消化吸收功能受损。患者因此反复发作腹痛腹胀、呕吐便秘等不适。因为包块外观犹如蚕茧,故被形象地命名为“腹茧症”。

李先生入院腹部CT
近日,经过周密的术前准备,刘颖斌主刀、副主任医师高钢龙担任一助,在麻醉科的配合下,为患者实施手术治疗。打开腹腔后,一个巨大的“茧”出现在手术团队的眼前。只见一个白色韧性蚕茧状包膜完全包裹了小肠,肠壁与包膜致密粘连,肉眼很难分辨肠管、血管等组织的走向,上段小肠及十二指肠扩张梗阻明显。这让手术难度陡然提升,稍有不慎即有出血、穿孔的危险;而由于纤维包膜完全遮蔽正常组织,因此一旦失误,止血、修补也并非易事。刘颖斌带领团队细致操作,一点点将纤维包膜整个剥离,使肠管恢复至正常的解剖位置,重获蠕动的能力。在刘颖斌娴熟的操作下,患者出血极少,最终顺利完成整台手术。术后,李先生逐渐恢复了正常饮食和排便,对医疗团队的感激之情溢于言表。
据刘颖斌主任介绍,腹茧症是一种罕见的腹部疾病,术前诊断率非常低,通常都需要剖腹探查才能确诊。术前腹部X线常提示肠梗阻,小肠钡剂造影与CT可确诊。术后病理往往为纤维结缔组织。若存在肠梗阻反复发作的情况,则需手术切除包囊壁、松解肠间粘连和行肠排列术。使无序粘连转为有序粘连,减少肠梗阻再次发生。同时患者出院后应定期随访,关注有无呕吐腹胀、停止排气排便的症状再次发生。
据悉,位于江月路2000号的仁济医院南院区普外科由刘颖斌教授领衔,下设四个学组,其中肝胆胰外科学组擅长肝胆胰复杂肿瘤根治术,胃肠外科学组擅长胃肠道肿瘤微创手术、结直肠良性疾病、各类痔疮等,甲状腺乳腺学组擅长甲状腺、乳腺肿瘤诊治,ERCP学组擅长胆道结石ERCP取石。近年来,通过优质医疗资源的辐射,为提升上海市郊医疗水平、服务闵行、浦东、奉贤等周边地区的患者发挥了积极作用。
作者:唐闻佳
编辑:顾军
责任编辑:任荃
图片来源:受访方提供
*文汇独家稿件,转载请注明出处。