
29岁的沙希德平日里“吃嘛嘛香”,谁知某天一顿饱餐后突然出现上腹痛,再吃几口结果出现呕吐、腹泻,紧接着十多天症状不减,更出现了乏力、精神不佳的状况。跑到一家医院就诊做腹部CT检查后,他被诊断为胰腺周围多发囊性灶,考虑重症胰腺炎伴有假性囊肿形成。
禁了食、挂了水,一番治疗后,他的症状缓解了。谁料,一吃饭又持续出现呕吐、腹痛、腹泻……沙希德日渐消瘦,体重一下子减了8斤。
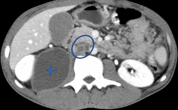
沙希德慕名来到上海瑞金医院,常规检查提示他营养状况很差,并且贫血。消化内科钟捷主任医师团队仔细询问了病史,完善了胰腺影像学检查,检查发现胰腺形态饱满,胰头后方、肠系膜多发周边环形强化灶,部分伴有钙化,并且右侧腰大肌旁也可见一个较大的周边环形强化灶,回盲部及盆腔内回肠连续性肠壁增厚,肠系膜肿胀。

沙希德的病因真是胰腺炎?
钟捷医生组织科室和胰腺外科、介入科、麻醉科、重症医学科等多学科会诊,明确诊疗方案。
作为临床医生背后的“侦察兵”,放射诊断科赵雪松医生凭借十多年来小肠影像学诊断的丰富经验,结合沙希德的症状、体征信息提出,这不符合重症胰腺炎,外院重症胰腺炎假性囊肿的影像学诊断依据不足!
“影像学上因出现肝门、胰头周围这些少见部位的多发淋巴结周边环形强化,肠系膜亦可见该征象,部分伴钙化,且主要分布在回结肠血管分布区,回盲部及盆腔回肠连续性肠壁增厚,这是结核感染的影像学征象。”赵雪松医生说,加之考虑患者来自卫生条件较差的地区,肠结核合并淋巴结结核、腹膜结核、右侧腰大肌冷脓肿的可能性很大。
经过放射科医生的“破案”,治疗调整了策略,进一步完善了沙希德胸部CT和结核杆菌斑点试验检查。检查结果高度提示结核。拨开云雾,狡猾的病因终于找到了。
钟捷医生团队再次组织会诊,排除了肺结核可能。在营养科、呼吸科、感染科等多学科保驾护航下,沙希德保肝治疗顺利进行,肝功能逐渐恢复正常,并进行了诊断性抗结核治疗。
两个半月后随访,沙希德CT复查提示病灶明显缩小,人也胖了,他终于可以放心吃饭了。
医生介绍,小肠是消化道最长的一部分,小肠走行迂回曲折,小肠疾病的诊断,多年来一直困扰着临床医生。近年,小肠CT作为一种无创检查手段,为观察小肠疾病的形态学变化带来了极大便利。在严福华主任和缪飞主任医师带领下,瑞金医院放射诊断科每年完成几千例小肠CT检查,为众多疑难小肠疾病提供诊断依据,目前这支团队已编写《小肠影像学》《小肠影像诊断学图谱》等专业书籍,正在编写《小肠影像学》第二版,在小肠疾病诊断方面积累了丰富经验,希望将更多经验分享给全国同仁。
作者:唐闻佳 祁洁
编辑:唐闻佳
责任编辑:樊丽萍
*文汇独家稿件,转载请注明出处。