
疫情防控下,上海长征医院承载着500余名透析患者“生命线”的血透机彻夜运转,完成一次次“生命接力”。 上海长征医院供图
(上海战疫录)上海医护想方设法为血透患者“生命接力” “空中桥梁”造福外地患者
中新网上海4月15日电 (陈静 王根华 曹希 张芸瑶)对血透患者来说,透析是维持生命的必需品,一周透析2到3次,一次也不能少。
在急诊门前开辟出“应急血透室”、在患者入口处设立“血透患者一站式服务”、在透析中心打造“全程闭环管理的透析病区”,记者15日获悉,上海长征医院肾脏病科主任毛志国带领科室医护为血透患者开通新的生命通道。疫情防控下,承载着500余名透析患者“生命线”的血透机彻夜运转,完成一次次“生命接力”。
据了解,对突如其来的疫情,原本门诊透析的患者中,不少人因为社区不断有阳性病人出现而导致成为了密接、次密接以及高危筛查人员等不同的身份。为了确保医院在疫情期间的安全管理,医院立即梳理出了住院患者血液透析、门诊患者血液透析、封控患者应急血液透析、阳性患者紧急透析以及危重患者透析治疗等等不同的治疗路径。

上海专家通过会诊软件开展诊疗。 上海市第十人民医院供图
急诊重症医学科护士长蒋卓娟连夜选派具有相关操作资质的ICU护士了成立了应急方舱透析小组、住院患者透析小组以及阳性患者透析小组。在护士站,电话铃声总是不断响起,微信群里叮当作响,这里很多都是紧急透析患者的临床需求。“接单”后,血透小组便身穿“大白”、肩挎自制的小包,装着透析必需的耗材物品,推着沉重的透析机器“送服务上门”。在应急方舱、发热门诊、急诊抢救室、病房大楼、……哪里有需要,哪里就有她们的身影。
据了解,许多血透患者未接种新冠疫苗接种,一旦发生感染,后果将不堪设想。医院一直在思考优化血透病房就诊流程,尽最大的努力降低病毒感染风险,同时确保患者的就医需求不受影响。在医院感控办、专家组的指导下,血透室提升了防控等级;同时,医院又对血透室进行了布局改造,开辟出独立的清洁区、缓冲区、污染区。医院还专门辟出了一条透析患者专用通道。

距离上海600公里外、浙江和福建交界处一个偏僻山村的患者,在家里及时得到了准确的超声检查。 上海市第十人民医院供图
血透患者也是慢病患者,闭环期间,药吃完了,怎么办?据了解,上海长征医院为血透患者开辟了一站式绿色通道,将血透门诊整体搬到血透患者入口处,医疗团队在这里为患者提供了挂号、诊疗、开方、收费、发药等一站式服务,最大程度提升患者就医体验的同时,也避免患者因在院内来回走动而产生的交叉传染风险。
牵挂血透患者的安危的不仅仅只有上海长征医院,记者在采访中了解到,本轮疫情伊始,海军军医大学第三附属医院紧急采购多套血透设备,仅用72小时迅速搭建起应急血透室。医院肾脏病科血液净化中心方面15日告诉记者,在全力保证原有透析患者治疗需求的同时,该院还接收来自封闭小区的血透患者。疫情防控期间,全院特殊性血液净化任务同比增长达三倍。
在应急血透室工作时,医护人员需实行三级防护。他们要陪伴患者4-6个小时,完成血透情况观察、更换置换液等一系列工作。在启用应急血透室的同时,该院为常规患者开辟专用通道设置了独立核酸检测场所,39张常规透析床位满负荷运行,近200名固定透析患者获得规律血透治疗。
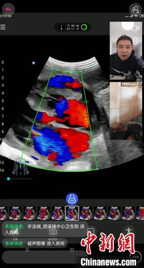
采访中,记者了解到,上海汇聚了诸多优质的医疗资源,疫情防控之下,不少专家或者被封控在家、或者在医院接受闭环管理,外地患者无法来沪看病。如何让中国各地有需要的患者及时获得上海专家诊疗?据了解,专家与患者相连相通的空中桥梁没有断线。上海专家通过远程指导与会诊的方式,赋能基层地区医生,信息化、数字化有效结合超声医学检查,提高基层民众重大疾病的首诊准确性,减少患者非必要外出就医。
上海市第十人民医院超声医学科专家彭成忠最近被封控在家。浙江省泰顺县泗溪镇卫生院全科医生王德平发来会诊请求:“一位行动不便的病人出现呼吸困难,需要到他家里做个超声检查。”彭成忠拿出手机,打开会诊软件。王德平带着掌上超声机器在患者家里,和上海专家进行了实时的连线会诊。超声机器扫描过的位置,图像直接呈现在彭成忠的手机上。疫情防控之下,距离上海600公里外、浙江和福建交界处一个偏僻山村的患者,在家里及时得到了准确的超声检查,两地医生明确了患者呼吸困难的根本原因:心功能衰竭和心包积液,为后续的治疗指明了方向。
采访中,记者了解到,近半个月来,泰顺县仕阳镇卫生院、横坑村卫生院、柳峰乡卓宅村等13家泰顺乡镇卫生院和村卫生室的医生先后连线上海市第十人民医院超声医学科,彭成忠、孙丽萍、张一峰、郭乐杭等超声专家们,为逾30例患者做出了及时而准确的病情诊断。(完)
转载:中国新闻网
编辑:王布米
声明:转载此文是出于传递更多信息之目的。若有来源标注错误或侵犯了您的合法权益,请作者持权属证明与本网联系,我们将及时更正、删除,谢谢。