
本报资料图片
海湾战争后,一些遭受身心压力的士兵出现了不明原因的认知衰退。随后的研究将疾病源头锁定在了血脑屏障的漏洞上。实际上,随着年龄增长,普通人的大脑也会出现越来越多的漏洞。这些漏洞会导致血液中的一些蛋白进入大脑,引起炎症和认知衰退。
在这篇节选自《环球科学》6月刊的文章中,两名科学家在数十年的实验中意外发现:修补漏洞或许能逆转衰老,让大脑重获青春。
那是1994年,耶路撒冷一个寒冷的深夜,我们(考费尔和弗里德曼)两个人蹲在希伯来大学实验室的一池冷水旁仔细盯着小鼠游泳。实验室里很冷,长时间的弯腰让我们背部感到酸痛,而且多个晚上的重复实验早已让我们疲惫不堪。当然,小鼠的感觉和我们一样,因为它们不喜欢游泳,尤其是在冷水里游泳,但是我们不得不让它们承受这样的压力。我们和小鼠每晚都聚在一起,是为了解开医学上的一个未解之谜:海湾战争综合征。
1991年,海湾战争结束后,越来越多的报道称,以美国为首的多国部队的士兵正在遭受慢性疲劳、肌肉疼痛、睡眠障碍和认知能力下降的困扰,而且这些士兵的住院率也要高于其他士兵。一些医生怀疑,如果溴吡斯的明(一种士兵会服用的药物)进入了大脑则可能会引发这些疾病。
但是该理论存在一个问题:血液中的溴吡斯的明不应该出现在大脑中。大脑中的血管壁由特殊的细胞组成,这些细胞紧密地排列在一起,形成了一道“城墙”,能够控制物质进出。这道城墙被称为血脑屏障,它的存在使得毒素、病原体(例如细菌)和大多数药物都无法通过。
但是,有一种可能是这些患病士兵的血脑屏障并不是那么完整,失去了控制药物进入的能力。我们想知道战争给士兵带来的身心压力是否会在某种程度上导致血脑屏障损伤,于是我们选择强迫小鼠游泳这种方法来测试我们的想法。
在小鼠结束游泳后,我们将小鼠从水池中取出,并向它们的静脉内注入了一些蓝色染料。等染料被运送到小鼠身体各个部位并将它染为蓝色后,我们对小鼠实施了安乐死,随后在解剖显微镜下观察它们的大脑。如果小鼠的血脑屏障完好无损,那么大脑应保持正常的粉红色或者白色。连续几个晚上,我们尝试设定了多个游泳时长,但都没有发现小鼠大脑的颜色有任何异常。
然而就在某一天晚上,小鼠在稍微凉一点的水中浸泡了两次之后,情况看起来有些不同了,这些小鼠的大脑呈现出明显的蓝色。那一刻,我们情不自禁地跳了起来,兴奋得手舞足蹈。实验室的工作通常是乏味的,但是成功往往就是这么微妙。我们奇怪的实验成功了,它表明压力大可能会使血脑屏障出现漏洞。在我们的导师,神经科学家赫蒙娜·索雷克(Hermona Soreq)的帮助下,我们进一步证明了血脑屏障的这种变化能让溴吡斯的明进入大脑,并改变脑细胞的活动。
在2019年发表于《科学·转化医学》的两篇论文中,我们证明了随着人们年龄的增长,血脑屏障会失去其完整性并出现漏洞,从而使血液中正常情况下无法进入大脑的蛋白质突破防御,这些意外闯入的蛋白质会进一步激活脑细胞间的一系列连锁事件,从而产生一些与衰老和疾病相关的常见显著变化,比如炎症、神经元活动异常和认知障碍。
血脑屏障的漏洞和这些疾病之间的因果关系看起来十分明显,因为至少在小鼠中,设法阻止由这些漏洞引起的反应可以逆转疾病症状。在年龄较大的小鼠中,我们可以通过遗传修饰来阻止这些细胞释放出炎症因子,或者也可以使用保护脑细胞免受血液蛋白刺激的靶向药物来消除炎症反应。
此外,我们利用成像技术将阿尔茨海默病患者的大脑与健康人的大脑进行了比较。影像结果显示,患有该疾病的人出现了过量的和进行性的血脑屏障漏洞,以及与疾病相关的其他级联反应特征。

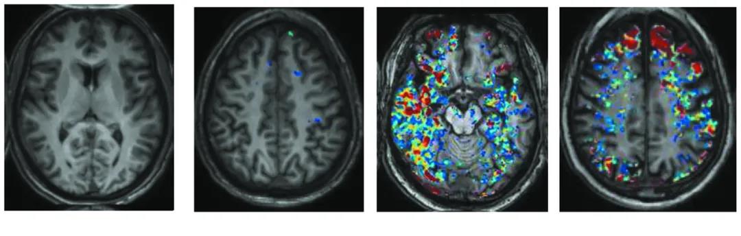
血脑屏障的老化:大脑扫描结果显示,随着年龄的增长,血脑屏障中的漏洞会越来越多。30岁时血脑屏障没有出现漏洞(1)。42岁时,蓝色斑点的出现表示血脑屏障出现了少量的漏洞(2)。65岁时,红色和黄色斑点代表了更多漏洞的出现(3)。76岁时,血脑屏障的漏洞仍在继续增加(4)。
图片来源:环球科学
我们尚不清楚血脑屏障的破坏是否真正导致了阿尔茨海默病或其他脑部疾病。它有可能与其他因素一起在疾病发生中起着作用,包括遗传因素和大脑衰老中观察到的各种细胞问题。
城墙的漏洞
血脑屏障这个词听起来像是围绕在大脑周围的一堵墙,但实际上,它更像是散布于大脑各处的过滤器。大脑通过复杂的网状血管获取了心脏搏出的富氧血量的15%-20%。这些血管看起来与人体其他部位的血管十分不同,其管壁由紧密堆积的细胞组成,具有特定的分子传输系统,可以形成半透性的过滤器。
早在上世纪90年代,当我们完成关于海湾战争综合征的初步工作时,我们就发现其他研究人员已经注意到某些脑部疾病(包括阿尔茨海默病)的患者存在血脑屏障损伤。但是我们不知道血脑屏障的损伤是这些脑部疾病的起因还是结果,以及血脑屏障的漏洞是如何开始的,它又将如何改变大脑功能。我们渴望找到这些问题的答案。许多神经疾病患者的血脑屏障存在缺陷,那么在受损的血脑屏障中到底发生了什么呢?
为了找到答案,我们用一种化学物质对大鼠进行了处理,这种化学物质会让血脑屏障形成孔洞。处理过后,我们会解剖大鼠大脑并进行切片,将切片放入营养液中,让其保持存活状态,并记录细胞之间相互联系的电信号。
图片
前几天的神经信号记录没有任何异常,神经元都是断断续续地,以不规则的方式向彼此发出电信号。到了第5天,我们几乎打算放弃继续记录时,电信号发生了变化:越来越多的神经元开始同步发出信号。随后的一周时间,我们用电极刺激了这些细胞,模拟了大脑皮层中出现的简短的电信号。出乎意料的是,这种刺激使大量细胞同时产生了电信号,类似于在癫痫发作的人和动物中观察到的情况。
事实上,当我们破坏血脑屏障时,大脑中的神经元并没有立即发生混乱,它们大约花费一周时间重新建立起了新的连接网络,此时只要给出一个微小的刺激便能引发一场巨大的电信号风暴。我们将这种模式称为阵发性慢波事件,类似于在阿尔茨海默病或者癫痫患者大脑中所观察到的那样。
我们只在模拟血脑屏障遭到破坏的情况下观察到了这种电信号风暴,那些正常的大脑切片不会受到电刺激的影响。因此,我们提出了一个假说:血液中的某些成分穿透血脑屏障、到达这些神经元后触发了这种反应。我们随后将血液直接注射到年轻健康大鼠的大脑中(此举绕过了血脑屏障)并监测其电信号活动。几天之后,我们再一次看到了这种电信号风暴。
显然,这种电信号风暴的产生和血液有关。但是血液是一种成分非常复杂的液体,其中包含许多不同种类的细胞和蛋白质。为了找出诱发这种风暴的罪魁祸首,我们进行了大量的筛选测试。最终,我们发现了一种会引起这种电信号紊乱现象的血液蛋白:白蛋白。
造成麻烦的蛋白
当时,我们并没有对这一发现感到很激动。我们更希望见到的是一种很稀有的成分,然而白蛋白很普通,并且在许多身体功能中都能见到它的身影,因此我们很难区分白蛋白在电信号风暴中做了什么。然而别无选择,我们只能硬着头皮开始了对它的研究。
我们首先从研究中得知的是,白蛋白进入大脑后似乎会激活星形胶质细胞,这是一种为神经元及它们的连接提供结构和化学支持的关键脑细胞。白蛋白接触星形胶质细胞后,会与其上的转化生长因子β(TGF-β)受体结合。通常,TGF-β能激活星形胶质细胞和小胶质细胞,从而引发炎症反应。而局部炎症是大脑通过破坏功能异常的细胞来限制损伤的一种方法。
但是,如果白蛋白持续渗入,星形胶质细胞和小胶质细胞就会受到过度刺激,从而释放出过量的化学物质并造成有害影响,其中也包括大量的TGF-β。这一现象会使得许多脑细胞受到损伤,关键的神经回路被改变,引发大脑功能退化。
这种破坏性的级联反应也出现在衰老小鼠的大脑中。我们选取了一批小鼠让它们正常地生存直至衰老,在各个时间点观察它们的大脑。结果发现,年轻小鼠的大脑中找不到白蛋白,白蛋白一般在中年小鼠大脑中开始出现。起初这种现象不是很明显,但是这时血脑屏障的完整性已经明显下降,并且随着小鼠年龄的增长变得更糟。同时我们发现,与正常小鼠相比,大脑中出现白蛋白的小鼠的记忆力明显下降。
在过去的5年里,我们已经获得了足够的证据证明这一过程也发生在人类身上。我们利用示踪分子标记了20多至70多岁的人群的血脑屏障漏洞信号。通过磁共振成像,我们可以看到,随着人们年龄的增长,血脑屏障上的漏洞会逐渐增加。
大脑再生
接下来,我们尝试在小鼠实验中逆转这一结果。尽管我们不能阻止白蛋白穿透血脑屏障,但是可以阻止由白蛋白进入大脑引发的TGF-β级联反应。为此我们构建了特殊的小鼠模型,在它们的星形胶质细胞中,TGF-β受体的相关编码基因被人为敲除了。这些小鼠和对照组在年轻时大脑中都被植入一个注射白蛋白的微型泵。
然后我们对两组小鼠进行了水迷宫测试,结果显示,对照组的小鼠很难完成水迷宫任务;但是TGF-β受体被敲除的小鼠却表现得与年轻、健康的小鼠一样,它们可以快速和准确地在迷宫中游动,而且当我们改变迷宫的配置时,它们也能够学会新的路线。通过观察它们的大脑,我们发现这些小鼠的炎症水平和异常脑电活动水平都很低。
这一结果确实令人鼓舞。但是对于人类来说,敲除一个在大脑中具有正常功能的基因现在仍然不太可行。不过,或许有一种药物可以达到这一效果。来自加利福尼亚州一家新兴药物公司Innovation Pathways的药物化学家巴里·哈特(Barry Hart)设计了一种抗癌药物,该药物可以特异性地阻断TGF-β受体的活性。哈特与我们取得了联系,建议我们在小鼠模型上尝试一种叫做IPW的药物。
当我们给开始出现白蛋白渗漏的中年小鼠服用这种药物时,它们的大脑显得更加年轻了。这些小鼠大脑中的TGF-β活性下降到了在年轻小鼠中观察到的水平,炎症标志物水平、异常的电活动和癫痫发作易感性都降低了。
但是最大的惊喜来自行为和认知测试。我们选择了一批老年小鼠,让它们穿越一个全新的迷宫。其中部分老年小鼠接受了IPW治疗,另外一部分没有。我们事先没有预料到接受IPW治疗会带来很多的改善,因为我们认为老年小鼠大脑已经发生了不可逆转的损害。
然而,在几天之内,经过治疗的老年小鼠对迷宫的学习能力可以与年龄只有它们一半的小鼠持平。未经处理的小鼠在迷宫中的表现与往常一样差劲。这一刻,炎症的阴霾仿佛消散了一般,大脑再次恢复了青春。我们的干预研究可能表明,在没有大量细胞死亡的情况下,衰老的大脑具有从损伤中恢复的能力。
世界人口正在面临老龄化,患痴呆症和阿尔茨海默病的人数正在攀升。遗憾的是,神经科学家对这种从年轻、健康的大脑转变到功能失调的衰老大脑的早期触发机制知之甚少。阿尔茨海默病和其他神经系统衰老疾病很复杂,可能有很多诱因。
现在我们知道,血脑屏障的漏洞应该就是其中之一。这个理论提供了一种非常直观的新模型,可以让我们理解为什么大脑功能会随着年龄的增长而下降。同时这个模型也给我们带来更多的信心,因为我们的研究结果强烈暗示,衰老的大脑保留了自我重塑和自我恢复的能力。这种能力可能会由于血脑屏障漏洞和后续的级联反应而受到抑制,但不会不可逆转地丧失。
对我们和其他科学家而言,下一步就是寻找合适的方法来减少血脑屏障的漏洞。如果我们能弄清楚这些事情,我想我们就有机会为很多人作出意义非凡的贡献。
作者:丹妮拉·考费尔(Daniela Kaufer)、阿隆·弗里德曼(Alon Friedman)
翻译:庄凌
编辑:顾军
责任编辑:姜澎
来源:环球科学
声明:转载此文是出于传递更多信息之目的。若有来源标注错误或侵犯了您的合法权益,请作者持权属证明与本网联系,我们将及时更正、删除,谢谢。