浙江海宁的李阿姨(化名)万万没想到因为吃了一道普通的家常菜,竟导致她三天排不出尿,肾功能衰竭,患上了尿毒症。
这到底是怎么一回事?
事情是这样的 …
近日,海宁 63 岁李阿姨(化名)自家地里的刀豆熟了,她就采了一些回来烧晚饭。没想到刀豆炒了一半,煤气用完了,李阿姨尝了一口,像是熟了,就端上了餐桌。
李阿姨的老伴牙口不好,只吃了一两口,剩下的整盘刀豆,李阿姨一个人光盘。晚上十点多,李阿姨就出现了腹泻、呕吐、乏力等食物中毒的症状。
不明原因的李阿姨到镇上的卫生院挂了点盐水,但是直到第三天她还没有排尿,卫生院医生建议她到市区医院就诊。
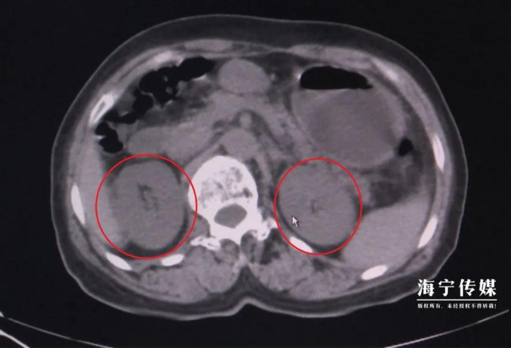
于是,李阿姨赶到了海宁市中医院(市肿瘤医院),接诊的海宁市中医院肾内科主任鄢胜刚检查后发现,李阿姨的肾功能指标已经达到了肾功能衰竭第五期,就是我们俗称的尿毒症期。
红圈部位为双肾肿胀
吃个刀豆怎么就中招了?
"这是典型的食物中毒!"鄢医生告诉记者,刀豆中含有生物碱,加热可分解。但李阿姨吃了整盘没烧熟的刀豆,毒素吸收导致急性肾功能衰竭,不能正常产生尿液,体内肌酐、尿素、氮尿酸等代谢废物无法排出。反映肾功能的肌酐指标一度飙升到 600 多,超出正常值上限的 6 倍。如不及时治疗,有突然心跳停止、血循环消失、休克的危险。住院后,李阿姨接受了血液透析治疗。
鄢医生 ( 左一 )
记者了解到,李阿姨还将接受一段时间的血透治疗,以尽可能恢复肾功能。医生也提醒,很多豆类都含有生物碱,食用时千万要注意烧熟。
除了未煮熟的刀豆,还有一些蔬菜类食品如果食用不当也会发生食物中毒!
这些食物也要当心:
发芽土豆
发芽的土豆或变青的绿皮中,含有龙葵碱,食用后对胃肠薪膜有较强的剌激性和腐蚀性,对中枢神经有麻痹作用,严重的还会危及生命。
青西红柿
青西红柿含有同发芽土豆相同的有毒物质一一龙葵碱,食用后会产生恶心、呕吐、肤色青紫、流涎、头晕等中毒症状。生着吃,危险性更大!
鲜蚕豆
有的人体内缺少某种酶,食用鲜蚕豆后会引起过敏性溶血综合征。症状为全身乏力、贫血、黄疸、肝肿大、呕吐、发热等,若不及时抢救,会因极度贫血而死亡。
烂生姜
腐烂的生姜会产生一种叫黄樟素的致癌物质,可诱发肝癌、食道癌。
鲜金针菇
新鲜的金针菇中含有秋水仙碱,人食用后,容易因氧化而产生有毒的二秋水仙碱,它对胃肠黏膜和呼吸道黏膜有强烈的刺激作用,会出现咽干、恶心、呕吐、腹痛、腹泻等症状;大量食用后,还可能引起发热、水电解质平衡紊乱、便血、尿血等严重症状。
秋水仙碱易溶于水,充分加热后可以被破坏,所以,食用鲜金针菇前,应在冷水中浸泡 2 小时,烹饪时要把金针菇煮软煮熟。
未煮熟的芸豆
芸豆含有毒蛋白和皂素,前者具有凝血作用,后者是一种能破坏红细胞的溶血素并对胃肠有强烈的刺激作用。
如果没有煮熟煮透,人吃了之后 1 至 5 小时就很有可能会中毒。轻者头痛,重者恶心、呕吐、腹痛。
一般老芸豆更易引起中毒,两头含毒素较高应去掉。
鲜黄花菜
鲜黄花菜含有秋水仙碱,它进入人体后被氧化成毒性很大的物质二秋水仙碱,能强烈刺激胃肠和呼吸系统。成年人如果一次摄入 0.1~0.2 毫克的秋水仙碱 ( 相当于鲜黄花菜 1~2 两 ) 即可中毒。
一旦中毒,会出现咽干、烧心、口渴、呕吐、腹痛、腹泻等症状,严重者可出现血便、血尿或尿闭等现象。
鲜黄花菜不要多吃,吃前应先将鲜黄花菜用开水焯一下,再用清水浸泡两小时以上,捞出后挤尽汁液,彻底炒煮后再吃。
不成熟的甜瓜根蒂
不成熟的甜瓜的瓜蒂和根部是苦味的,所含具有苦味的甜瓜毒素可以引起胃痛、吐逆、腹泻等,严重的可危及生命。
苦瓠子
苦瓠子含植物毒素碱糖甙,炒熟后它的毒性也不易分解,少量误食即可引起中毒。
一般苦瓠子的中毒症状在进食后 1-2 个小时便会出现,轻者表现为口干、头昏、恶心、呕吐、乏力、嗜睡等症状,重者则会出现腹痛、腹泻、脱水和血便等症状,甚至危及生命。
来源:大潮网
编辑:朱佳伟
责任编辑:李伶
声明:转载此文是出于传递更多信息之目的。若有来源标注错误或侵犯了您的合法权益,请作者持权属证明与本网联系,我们将及时更正、删除,谢谢。